3/3
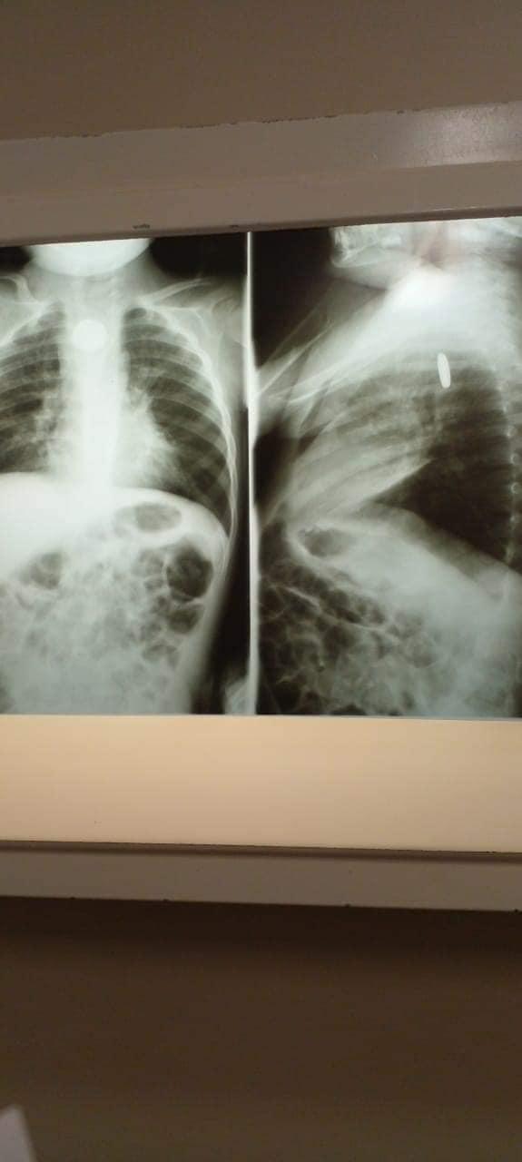
Copil de 2 ani, în stare critică după ce a înghiţit o baterie. Medicii din Mexic s-au luptat două săptămâni să îl salveze | Imaginea 3 din 3 | Galerie Foto
Copil de 2 ani, în stare critică după ce a înghiţit o baterie | Sursa foto: Facebook / Jesús Olivarria