Vinuri cu poveşti din Italia! Licoare lui Bachus produsă de italieni devine tot mai cunoscute pe piaţa din România
Vinuri cu poveşti din Italia! Licoare lui Bachus produsă de italieni devine tot mai cunoscute pe piaţa din RomâniaRomânii încep să pună preţ, din ce în ce mai mult, pe calitate şi atunci când vine vorba de vinuri. Acum caută gusturi...
pe 30.10.2017 la 13:36
Vinuri vechi de peste 60 de ani, scoase la licitaţie de ANAF! Un pahar valorează cât un gram de AUR!
Vinuri vechi de peste 60 de ani, scoase la licitaţie de ANAF! Un pahar valorează cât un gram de AUR!Mii de sticle de vin din colecţia Murfatlar, vechi de peste 60 de ani, au fost scoase la licitaţie de Fisc. păstrate cu grijă...
pe 12.10.2017 la 09:26
O întreagă familie a fost la un pas de moarte, asfixiată în beci din cauza vinului abia făcut care fermenta
O întreagă familie a fost la un pas de moarte, asfixiată în beci din cauza vinului abia făcut care fermentaO familie întreagă a ajuns la spitalul din Drobeta Turnu Severin, din cauza unei intoxicaţii cu alcool!
pe 25.09.2017 la 16:20
Vremea mustului a adus NENOROCIRE într-o familie din Mehedinţi! Mama, tatăl şi fiul lor, găsiţi INTOXICAŢI în beci. IMAGINI DRAMATICE
Vremea mustului a adus NENOROCIRE într-o familie din Mehedinţi! Mama, tatăl şi fiul lor, găsiţi INTOXICAŢI în beci. IMAGINI DRAMATICEO familie întreagă a ajuns azi la Spitalul Judeţean din Drobeta Turnu-Severin, fiind găsiţi intoxicaţi cu alcoolul etilic...
pe 25.09.2017 la 13:29
Ministrul Agriculturii a cummpărat mere şi struguri româneşti la Festivalul Vinului de la Valea Călugărească
Ministrul Agriculturii a cummpărat mere şi struguri româneşti la Festivalul Vinului de la Valea CălugăreascăMinistrul Agriculturii a făcut "piaţa" astăzi, la Valea Călugărească. Invitat la un festival al vinului, Petre Daea a scos...
pe 22.09.2017 la 19:25
Percheziții cu MASCAȚI la o firmă din Vrancea care transforma APA în VIN într-un 'LABORATOR SUBTERAN' - VIDEO
Percheziții cu MASCAȚI la o firmă din Vrancea care transforma APA în VIN într-un 'LABORATOR SUBTERAN' - VIDEOPolițiștii au confiscat peste 130.000 de litri de vin după ce au descoperit un laborator subteran în județul Vrancea unde...
pe 09.09.2017 la 12:33
Nu se mai găsesc muncitori cu ziua! Decât să facă bani frumoşi la culesul de vie, mulţi oameni se mulţumesc cu ajutorul social
Nu se mai găsesc muncitori cu ziua! Decât să facă bani frumoşi la culesul de vie, mulţi oameni se mulţumesc cu ajutorul socialÎn podgoriile din Târgu' Bujor, viile sunt pline cu ciorchini, dar culegătorii sunt aproape absenţi! Iar majoritatea celor care...
pe 05.09.2017 la 16:47
A început sezonul vinului! Strugurii sunt culeşi de pe podgorii şi sunt transformaţi în must
A început sezonul vinului! Strugurii sunt culeşi de pe podgorii şi sunt transformaţi în mustA început sezonul vinului! Strugurii sunt culeşi de pe podgorii şi sunt transformaţi în must. Însă, în regiunile renumite...
pe 04.09.2017 la 16:42
Celebrul vin franţuzesc Pinot Noir e cultivat la Olimp, pe malul mării, de o franţuzoaică
Celebrul vin franţuzesc Pinot Noir e cultivat la Olimp, pe malul mării, de o franţuzoaicăDacă Bucureştiul este micul Paris, şi România poate fi o mică... Franţa. Celebrul vin franţuzesc Pinot Noir iese ca la el...
pe 14.07.2017 la 19:42
Muzica, vinul şi caii! Ce au în comun marile pasiuni ale tenorului Andrea Bocelli
Muzica, vinul şi caii! Ce au în comun marile pasiuni ale tenorului Andrea BocelliMuzica, vinul şi caii sunt marile pasiuni ale lui Andrea Bocelli, despre care a vorbit deschis într-un interviu exclusiv pentru...
pe 10.05.2017 la 20:13
La Panciu au fost confiscaţi 80.000 de litri de vin contrafăcut
La Panciu au fost confiscaţi 80.000 de litri de vin contrafăcutPoliţiştii de la IPJ Vrancea au efectuat percheziţii în oraşul Panciu, la o firmă şi patru imobile deţinute de un bărbat,...
pe 14.01.2017 la 13:04
Românii au băut anul acesta 600 de hectolitri de vin
Românii au băut anul acesta 600 de hectolitri de vinSe numără sticlele goale rămase după Sărbători. Românii au băut anul acesta mai mult decât în anii trecuţi.
pe 03.01.2017 la 19:40
Paharele de calitate pentru șampanie, se fac manual la Tîrgu Mureș
Paharele de calitate pentru șampanie, se fac manual la Tîrgu MureșŞampania franţuzească se bea din pahare romaneşti, în foarte multe ţări din Europa! Mai puţin în România. Deşi sunt...
pe 27.12.2016 la 16:26
Românii merg cu drag la Târgurile de Crăciun din marile orașe
Românii merg cu drag la Târgurile de Crăciun din marile orașeŢi-e mai mare dragul să ieşi pe străzi, la plimbare! Mai ales dacă locuieşti într-un oraş frumos împodobit, unde există...
pe 22.12.2016 la 13:21
Specialiștii ne recomandă să asortăm fiecare fel de mâncare cu un vin potrivit
Specialiștii ne recomandă să asortăm fiecare fel de mâncare cu un vin potrivitSărbătorile de iarnă sunt prilej de răsfăţ culinar. Bucatele sunt însă multe şi grele, petrecerile se ţin lanţ şi de...
pe 21.12.2016 la 13:59
Sărbătorile vin cu reţete speciale. Un fermier din Alba propune caşcavalul maturat în vin roşu
Sărbătorile vin cu reţete speciale. Un fermier din Alba propune caşcavalul maturat în vin roşuUn tânăr din Alba susţine că are reţeta unui preparat spectaculos. E vorba despre caşcavalul maturat în vin roşu de casă....
pe 18.12.2016 la 19:33
În comă alcoolică la un an și trei luni. Femeia care are grijă de copil i-ar fi dat pufuleţi înmuiaţi în vin!
În comă alcoolică la un an și trei luni. Femeia care are grijă de copil i-ar fi dat pufuleţi înmuiaţi în vin!pe 27.11.2016 la 09:07
În Japonia a avut loc tradiţionala baie în vin franţuzesc
În Japonia a avut loc tradiţionala baie în vin franţuzescAţi auzit cu siguranţă teoriile potrivit cărora o baie în lapte face minuni asupra pielii. Noi vă spunem că una în vin face...
pe 17.11.2016 la 16:36
Singurul institut de Viticultură şi Vinificaţie din ţară a ajuns în paragină
Singurul institut de Viticultură şi Vinificaţie din ţară a ajuns în paraginăSingurul institut de Viticultură şi Vinificaţie din ţară, cel de la Valea Călugărească din Prahova, este în stare jalnică....
pe 06.11.2016 la 19:37
Atenţie la ce vin cumpărăm! Mai mult de jumătate sunt contrafăcute sau de proastă calitate
Atenţie la ce vin cumpărăm! Mai mult de jumătate sunt contrafăcute sau de proastă calitateNe place vinul, dar nu ştim întotdeauna cum să alegem corect unul de calitate. Românii beau anual o cantitate de vin care ar...
pe 04.11.2016 la 19:29
Festivalul Vinului 'Simfonii de toamnă' din Tîrgu-Mureş
Festivalul Vinului 'Simfonii de toamnă' din Tîrgu-MureşUn viţel la proţap şi un gulaş delicios au fost principalele atracţii pentru oaspeţi, la Festivalul Vinului 'Simfonii de...
pe 22.10.2016 la 08:33
Românii nu știu să facă diferenţa între un vin curat şi unul contrafăcut
Românii nu știu să facă diferenţa între un vin curat şi unul contrafăcutE vin pe etichetă, şi orice altceva în sticlă. Unii români cumnpără cu încredere şi speranţă licoarea bahică, pentru că...
pe 02.10.2016 la 19:32
Un francez a lăsat patria vinurilor pentru meleagurile însorite din Mehedinţi. A plantat vie şi-acum, culege roadele. Struguri dulci din care iese cel mai bun vin
Un francez a lăsat patria vinurilor pentru meleagurile însorite din Mehedinţi. A plantat vie şi-acum, culege roadele. Struguri dulci din care iese cel mai bun vinLa Corcova, în judeţul Mehedinţi, vinul e mai bun ca-n Franţa. O spune chiar un francez care s-a stabilit acolo şi care a...
pe 24.09.2016 la 19:38
30 de mii de litri de vin, vărsați în semn de protest
30 de mii de litri de vin, vărsați în semn de protestAu curs râuri de vin pe străzile unui oraş din sudul Franţei. Într-o acţiune de protest dusă la extrem, un grup de...
pe 05.08.2016 la 16:40
Special! Ambulanța moldovenească
Special! Ambulanța moldovenească"Prietenul, la nevoie se cunoaşte!", spune un proverb, prezent în toate limbile pământului! Mai ales atunci când ai exagerat cu...
pe 13.05.2016 la 20:29
Drumul Vinului poate fi străbătut doar în șir indian!
Drumul Vinului poate fi străbătut doar în șir indian!În judeţul Arad, câmpurile nu sunt brăzdate de tractoare, aşa cum am fi tentaţi să credem, ci de trotuare. Şi ca şi cum nu...
pe 05.04.2016 la 16:24
Special! Secretele profesiei de somelier
Special! Secretele profesiei de somelierSunteţi la prima întâlnire, într-un restaurant pretenţios, şi chelnerul vă prezintă meniul! Cu preparatele nu aveţi...
pe 11.03.2016 la 20:25
În Japonia un producător de vin îşi face reclamă într-un mod inedit
În Japonia un producător de vin îşi face reclamă într-un mod ineditLansarea celei mai noi producţii de vinuri ale unei companii din Franţa se face cu mare fast, an de an, în Japonia
pe 20.11.2015 la 16:28
România se află pe locul 13 în topul celor mai mari producători mondiali de vin
România se află pe locul 13 în topul celor mai mari producători mondiali de vinConform datelor preliminare publicate miercuri de Organizația Internațională a Viei și Vinului, producția de vin a României...
pe 28.10.2015 la 16:11
Un PAHAR de VIN pe zi ține DOCTORUL la distanță!
Un PAHAR de VIN pe zi ține DOCTORUL la distanță!Potrivit unor studii, cantitatea perfectă pentru o viață sănătoasă este un pahar de vin în fiecare seară, servit la cină.
pe 14.10.2015 la 16:16
Cum a ajuns Toto Cutugno la Focșani
Cum a ajuns Toto Cutugno la FocșaniBachus le-a adus focşanenilor o mare surpriză. La finalul festivalului dedicat vinului, au putut să îl asculte pe Toto Cutugno
pe 12.10.2015 la 07:28
Festivalul internaţional al viei şi vinului Bachus se ţine la Focşani. Care e atmosfera
Festivalul internaţional al viei şi vinului Bachus se ţine la Focşani. Care e atmosferaEste sărbătoare mare la Focşani
pe 09.10.2015 la 13:35
SPECIAL! Satul cu cele mai multe pivnițe cu vin
SPECIAL! Satul cu cele mai multe pivnițe cu vinCând ne gândim la licori bahice, de multe ori suntem tentaţi să credem că Vrancea este capitala românească a vinului. Însă,...
pe 01.10.2015 la 20:13
SPECIAL! Culesul viilor
SPECIAL! Culesul viilorCulesul viilor este una dintre cele mai răspândite tradiţii în ţara noastră. Recoltarea strugurilor datează încă de pe...
pe 21.09.2015 la 20:21
Vladimir Putin şi Silvio Berlusconi, acuzați că au băut de vin de 240 de ani, parte din istoria Ucrainei
Vladimir Putin şi Silvio Berlusconi, acuzați că au băut de vin de 240 de ani, parte din istoria UcraineiPasiunea pentru băuturi fine le-ar putea aduce lui Vladimir Putin şi Silvio Berlusconi un dosar penal. Cei doi sunt acuzaţi că...
pe 19.09.2015 la 19:49
Struguri puțini, dar vin mai bun
Struguri puțini, dar vin mai bunInformările meteorologilor privind seceta din perioada următoare dau fiori reci viticultorilor. Lipsa ploilor cumulată cu...
pe 25.07.2015 la 19:37
Percheziţii la un judecător de la Curtea de Apel Iaşi
Percheziţii la un judecător de la Curtea de Apel IaşiUn judecător de la Curtea de Apel din Iaşi a dat cu subsemnatul în faţa procurorilor. Pentru o presupusă mită de 200 de mii de...
pe 14.06.2015 la 08:13
Percheziţii DIICOT la un judecător de la Curtea de Apel Iaşi. Ar fi luat mită bani, curcani şi vin
Percheziţii DIICOT la un judecător de la Curtea de Apel Iaşi. Ar fi luat mită bani, curcani şi vinUn judecător de la Curtea de Apel Iași este acuzat că ar fi acceptat 200.000 de euro, produse alimentare, precum curcani și vin,...
pe 13.06.2015 la 15:09
Vinul dăunează grav libertăţii
Vinul dăunează grav libertăţiiFalsificatorii de vinuri riscă puşcăria şi suspendarea activităţii pentru trei ani. Măsurile apar în noua lege a viei şi...
pe 29.05.2015 la 19:31
Vinul fiert, elixirul dragostei
Vinul fiert, elixirul dragosteiElixirul dragostei nu e un mit. Dar trebuie să şi crezi că are efect. Băutura cu efecte magice se foloseşte de sute de ani, în...
pe 01.03.2015 la 08:12
Vinul e bun pentru sănătate
Vinul e bun pentru sănătate"In vino veritas", spuneam romanii. Nimic mai adevărat. Gândiţi-vă doar cum - după unul sau mai multe pahare de vin - toate...
pe 19.02.2015 la 20:14
Cel mai BUN VIN din regiune! DENUMIREA LUI, de 5 STELE
Cel mai BUN VIN din regiune! DENUMIREA LUI, de 5 STELEDacă ai crezut vreodată că deja le-ai văzut pe toate și nimic nu te mai poate impresiona... te cam înșeli
pe 11.02.2015 la 13:01
Special! Alimente interzise înainte de culcare
Special! Alimente interzise înainte de culcareSpre deosebire de bucătăria japoneză, cea românească este mult mai consistentă! Plus că reţelele - mai ales pe timp de...
pe 18.11.2014 la 20:10
Degustare de vin și fructe de peste Prut
Degustare de vin și fructe de peste PrutO degustare de vinuri alese din Republica Moldova le-a răsfăţat simţurile invitaţilor Ambasadei Americane din Bucureşti
pe 29.10.2014 la 13:43
FOTO! MAȘINA MINUNE: Transformă APA în VIN în doar trei zile
FOTO! MAȘINA MINUNE: Transformă APA în VIN în doar trei zileUn aparat poate transforma apa în vin în doar trei zile, cu ajutorul unor incrediente simple
pe 29.10.2014 la 12:04
Mustul, prietenul unui viceprimar curajos
Mustul, prietenul unui viceprimar curajosA început culesul viilor, iar pe mesele multor gospodari stă la loc de cinste mustul. Al doilea gospodar dintr-o comună din...
pe 01.10.2014 la 06:37
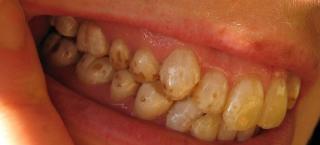
Alimentele care îți înnegresc DINȚII!
Alimentele care îți înnegresc DINȚII!Dacă îţi doreşti nişte dinţi foarte albi, cu aspect sănătos, este bine să eviţi anumite alimente şi băuturi
pe 21.09.2014 la 16:39
Special! Ritualul vinului
Special! Ritualul vinuluiConsiderat mii de ani licoarea zeilor, vinul nu poate lipsi de pe masă la nicio ocazie specială. Însă dacă nu este consumat cum...
pe 19.09.2014 la 20:16
Producţia de struguri, mai mică cu 30% față de anul trecut
Producţia de struguri, mai mică cu 30% față de anul trecutVrem, nu vrem, bem spriţ. Sau, vin simplu, dar mai puţin. Ploile au stricat socotelile viticultorilor. Producţia de struguri de...
pe 18.09.2014 la 19:44
Nu ştii ce VIN să alegi? O nouă aplicaţie te scoate din încurcătură
Nu ştii ce VIN să alegi? O nouă aplicaţie te scoate din încurcăturăCâţi dintre noi se pot lăuda că în materie de vinuri ştiu ce să aleagă astfel încât să se potrivească perfect cu felul...
pe 10.09.2014 la 21:11