Hamas: Douăsprezece morţi şi zeci de răniţi într-un atac asupra unei şcoli ONU din tabăra Jabalia
Hamas: Douăsprezece morţi şi zeci de răniţi într-un atac asupra unei şcoli ONU din tabăra JabaliaRăzboi Israel - Hamas. Ministerul palestinian al Sănătăţii din Hamas a anunţat că 12 persoane au murit şi alte 54 sunt...
pe 04.11.2023 la 13:51
Ministerul Sănătăţii al Hamas publică o listă de aproape 7.000 de palestinieni ucişi în Fâşia Gaza, după ce Washingtonul spune că nu are încredere în bilanţurile sale
Ministerul Sănătăţii al Hamas publică o listă de aproape 7.000 de palestinieni ucişi în Fâşia Gaza, după ce Washingtonul spune că nu are încredere în bilanţurile saleRăzboi Israel - Hamas . Ministerul Sănătăţii din Fâşia Gaza, teritoriu controlat de mişcarea islamistă Hamas, a...
pe 26.10.2023 la 22:31
"Cerem ajutor în genunchi". 700 de morţi doar în ultimele ore, susţin palestinienii. Israelul a lovit un tunel prin care teroriştii se infiltrau din mare
"Cerem ajutor în genunchi". 700 de morţi doar în ultimele ore, susţin palestinienii. Israelul a lovit un tunel prin care teroriştii se infiltrau din mareRăzboi Israel - Hamas . Peste 700 de palestinieni au fost uciși în atacurile aeriene israeliene din ultimele 24 de ore, a...
pe 24.10.2023 la 18:26
Ministerul Sănătăţii din Gaza, condus de Hamas, susţine că 436 de oameni au fost ucişi doar în ultimele 24 de ore. Bilanţul victimelor ajunge la 5.000
Ministerul Sănătăţii din Gaza, condus de Hamas, susţine că 436 de oameni au fost ucişi doar în ultimele 24 de ore. Bilanţul victimelor ajunge la 5.000Război Israel - Hamas. Statele Unite au sugerat Israelului să amâne lansarea ofensivei terestre împotriva...
pe 23.10.2023 la 15:28
Israelul a lansat peste noapte sute de atacuri aeriene şi raiduri terestre limitate în Gaza. Palestinienii acuză că 1.800 de copii au fost ucişi în ultimele 2 săptămâni
Israelul a lansat peste noapte sute de atacuri aeriene şi raiduri terestre limitate în Gaza. Palestinienii acuză că 1.800 de copii au fost ucişi în ultimele 2 săptămâniRăzboi Israel - Hamas. 320 de ţinte teroriste din Gaza au fost lovite în ultimele ore de bombardamente. În cea...
pe 23.10.2023 la 14:50
Video S-a reluat tipărirea cardurilor de sănătate. Când se va livra primul lot de 200.000 de carduri
S-a reluat tipărirea cardurilor de sănătate. Când se va livra primul lot de 200.000 de carduriS-a reluat tipărirea cardurilor de sănătate! Ministrul Sănătăţii a făcut, astăzi, anunţul. Este valabil pentru persoanele...
pe 20.10.2023 la 13:53
Embargou imediat şi total asupra Israelului: Apelul lansat de Iran în timp ce Hezbollah a cerut o "zi de furie" în lumea arabă
Embargou imediat şi total asupra Israelului: Apelul lansat de Iran în timp ce Hezbollah a cerut o "zi de furie" în lumea arabăRăzboi Israel - Hamas . Gruparea Hezbollah din Liban, susținută de Iran, a cerut o "zi de furie" în...
pe 18.10.2023 la 15:23
Video Palestinienii folosesc camioane de înghețată pe post de morgi. Spitalele din Gaza nu ma fac față numărului mare de cadavre
Palestinienii folosesc camioane de înghețată pe post de morgi. Spitalele din Gaza nu ma fac față numărului mare de cadavreRăzboi Israel - Hamas . Criza umanitară din Gaza se adâncește. Pentru că morgile sunt pline, spitalele folosesc...
pe 14.10.2023 la 13:35
Video Percheziţii la Ministerul Sănătăţii. Procurorii suspectează că ar fi fost făcute publice informaţii secrete pentru fraudarea unui concurs
Percheziţii la Ministerul Sănătăţii. Procurorii suspectează că ar fi fost făcute publice informaţii secrete pentru fraudarea unui concursProcurorii și ofițerii DGA au descins astăzi la Ministerul Sănătății și la mai multe adrese din București. Anchetatorii au...
pe 10.10.2023 la 19:53
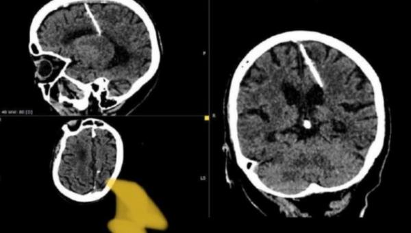
O femeie din Rusia a trăit 80 de ani cu un ac înfipt în creier. Părinţii ar fi încercat să o omoare la naştere
O femeie din Rusia a trăit 80 de ani cu un ac înfipt în creier. Părinţii ar fi încercat să o omoare la naştereO femeie din Rusia a trăit toată viaţa cu un ac de cusut înfipt în creier. Medicii din regiunea Sahalin au...
pe 06.10.2023 la 09:16SONDAJ: Testarea antidrog în şcoli, respinsă. Este o decizie bună?
SONDAJ: Testarea antidrog în şcoli, respinsă. Este o decizie bună?Testarea antidrog în masă a elevilor a fost respinsă ! Potrivit experţilor Ministerului Sănătăţii, aceasta poate fi...
pe 03.10.2023 la 10:48
Video Testarea antidrog a elevilor. Cum plănuieşte ministerul Sănătăţii să combată consumul de narcotice. Ideea propusă de tineri
Testarea antidrog a elevilor. Cum plănuieşte ministerul Sănătăţii să combată consumul de narcotice. Ideea propusă de tineriElevii vor fi testaţi pentru consum de droguri doar în cazuri speciale şi nu la şcoală! Dacă profesorul observă un...
pe 02.10.2023 la 20:30
Încă un rănit în explozia de la Crevedia a murit. Bilanţul deceselor a ajuns la 6 victime
Încă un rănit în explozia de la Crevedia a murit. Bilanţul deceselor a ajuns la 6 victimeBilanţul exploziei de la staţia GPL din Crevedia a ajuns la 6 morţi după ce un pacient cu arsuri internat la o clinică...
pe 02.10.2023 la 14:32
Video Testarea antidrog a elevilor, respinsă. Cum poate fi totuşi efectuată dacă există suspiciuni
Testarea antidrog a elevilor, respinsă. Cum poate fi totuşi efectuată dacă există suspiciuniTestarea antidrog în masă a elevilor a fost respinsă! Potrivit experţilor Ministerului Sănătăţii, aceasta poate fi...
pe 02.10.2023 la 13:42
Video Campania de vaccinare antigripală începe fără doze gratuite pentru categoriile de risc. Cât costă o fiolă în farmacii
Campania de vaccinare antigripală începe fără doze gratuite pentru categoriile de risc. Cât costă o fiolă în farmaciiÎncepe sezonul virozelor, dar nu ne putem încă vaccina gratuit. Şi asta pentru că autorităţile nu au dat normele...
pe 29.09.2023 la 18:39
Video Scandal cu cele 6 spitale scoase din PNRR. Autorităție locale se plâng că nimeni nu le-a întrebat "de sănătate"
Scandal cu cele 6 spitale scoase din PNRR. Autorităție locale se plâng că nimeni nu le-a întrebat "de sănătate"Nu ne mai facem bine. Șase spitale din ţară au fost scoase din PNRR , pentru că riscul să nu fie gata până...
pe 13.09.2023 la 09:48
Alexandru Rafila, replică acidă pentru Vlad Voiculescu: "Ministerul n-a pierdut niciun ban, domnule magician"
Alexandru Rafila, replică acidă pentru Vlad Voiculescu: "Ministerul n-a pierdut niciun ban, domnule magician"Ministerul Sănătății nu a pierdut niciun ban din PNRR, spune ministrul Rafila, care explică o diferență de finanțare de 700...
pe 09.09.2023 la 16:25
Fenomen periculos, ignorat de autorităţi. Cât de uşor se pot obţine drogurile de pe internet. Mărturia unui fost consumator: Am devenit ca un bătrân
Fenomen periculos, ignorat de autorităţi. Cât de uşor se pot obţine drogurile de pe internet. Mărturia unui fost consumator: Am devenit ca un bătrânUn fenomen periculos este ignorat de autorităţi. Medicamente din care se fac cocktailuri de droguri se vând pe...
pe 02.09.2023 la 20:20
Video Momentul exploziei de la staţia GPL din Crevedia. Unda de șoc s-a simțit de la sute de metri distanță
Momentul exploziei de la staţia GPL din Crevedia. Unda de șoc s-a simțit de la sute de metri distanțăExplozie puternică la o staţie GPL din Crevedia , în urma căreia s-a activat Planul Roşu şi a fost...
pe 26.08.2023 la 21:00
Galerie foto Medicii și asistentele care au fost pe tură când Alexandra a murit, suspendați. Protestele au continuat chiar și în ziua în care tânăra mămică a fost condusă pe ultimul drum
Medicii și asistentele care au fost pe tură când Alexandra a murit, suspendați. Protestele au continuat chiar și în ziua în care tânăra mămică a fost condusă pe ultimul drumAu fost luate primele măsuri după tragedia de la maternitatea din Botoşani. Medicul şi asistentele care se aflau în...
pe 22.08.2023 la 08:14
Video Ultimele cuvinte ale Alexandrei, tânăra care şi-a dat ultima suflare pe patul maternităţii din Botoşani. Trei copilaşi au rămas fără mamă: "A murit cu zile"
Ultimele cuvinte ale Alexandrei, tânăra care şi-a dat ultima suflare pe patul maternităţii din Botoşani. Trei copilaşi au rămas fără mamă: "A murit cu zile"Nu am aer. Sunt ultimele cuvinte ale Alexandrei, tânăra mamă care a murit într-o maternitate din Botoşani . Şi...
pe 21.08.2023 la 21:04
Video Rata vaccinării, în cădere liberă: doar Papua Noua Guinee şi Sudanul de Sud stau mai prost decât România. Ce spun medicii după protestul din faţa Ministerului Sănătăţii
Rata vaccinării, în cădere liberă: doar Papua Noua Guinee şi Sudanul de Sud stau mai prost decât România. Ce spun medicii după protestul din faţa Ministerului Sănătăţii"Niciun român nu va fi vaccinat forţat" - o spune răspicat premierul României, la o zi după protestul din...
pe 18.08.2023 la 20:39
Ce amenzi au primit antivaxxerii violenţi, care au protestat în faţa Ministerului Sănătăţii
Ce amenzi au primit antivaxxerii violenţi, care au protestat în faţa Ministerului SănătăţiiO temă inventată - vaccinarea obligatorie - a dus la un protest violent în faţa Ministerului Sănătăţii. Spiritele s-au...
pe 18.08.2023 la 13:45
Video Şi-au vaccinat copiii, dar au venit să protesteze faţă de vaccinare. Scene de Caragiale la protestul AUR, cu "Stegarul Dac" căţărat pe Ministerul Sănătăţii
Şi-au vaccinat copiii, dar au venit să protesteze faţă de vaccinare. Scene de Caragiale la protestul AUR, cu "Stegarul Dac" căţărat pe Ministerul SănătăţiiO tema inventată, vaccinarea obligatorie, a dus la un protest violent în faţa Ministerului Sănătăţii . Iar clădirea...
pe 17.08.2023 la 19:18
Video Circ la protestul AUR. Un bărbat s-a căţărat pe clădirea ministerului până la etajul 1 şi nu vrea să mai coboare. Reacţia Jandarmeriei
Circ la protestul AUR. Un bărbat s-a căţărat pe clădirea ministerului până la etajul 1 şi nu vrea să mai coboare. Reacţia JandarmerieiProtest cu scandal în faţa Ministerului Sănătăţii . Oamenii s-au îmbrâncit cu forţele de ordine. Asta...
pe 17.08.2023 la 17:31
Un protestatar s-a căţărat pe clădirea ministerului ca să intre peste Rafila. AUR susţine în mod fals că se încearcă introducerea vaccinării obligatorii
Un protestatar s-a căţărat pe clădirea ministerului ca să intre peste Rafila. AUR susţine în mod fals că se încearcă introducerea vaccinării obligatoriiScene şocante la protestul organizat de AUR la sediul Ministerului Sănătăţii. Un protestatar s-a urcat pe clădire şi a...
pe 17.08.2023 la 15:45
Andrei Baciu este noul președinte al Casei Naționale de Asigurări de Sănătate (CNAS)
Andrei Baciu este noul președinte al Casei Naționale de Asigurări de Sănătate (CNAS)Fostul președinte al Comitetului Național de Coordonare a Activităților privind Vaccinarea împotriva SARS-CoV-2 (CNCAV),...
pe 17.08.2023 la 12:03
Video Incendiu la spitalul Robănescu din Bucureşti. Medicii i-au evacuat în timp record pe cei 86 de copii şi părinţii lor. Micuţii, transferaţi la Marie Curie
Incendiu la spitalul Robănescu din Bucureşti. Medicii i-au evacuat în timp record pe cei 86 de copii şi părinţii lor. Micuţii, transferaţi la Marie CurieMinisterul Sănătăţii a transmis, marţi seară, că nu s-au înregistrat victime în urma incendiului care a izbucnit...
pe 26.07.2023 la 08:58
Foto Incendiu puternic în spatele spitalului Robănescu din Bucureşti, după ce un transformator a explodat. 110 copii au fost evacuaţi
Incendiu puternic în spatele spitalului Robănescu din Bucureşti, după ce un transformator a explodat. 110 copii au fost evacuaţiIncendiu puternic în spatele spitalului Robănescu din Bucureşti, după ce un transformator a explodat. Focul s-a...
pe 25.07.2023 la 22:49
Azilele groazei. Din 216 persoane relocate din centrele pentru persoane cu dizabilităţi, 76 au necesitat internare, anunţă Ministerul Sănătăţii
Azilele groazei. Din 216 persoane relocate din centrele pentru persoane cu dizabilităţi, 76 au necesitat internare, anunţă Ministerul SănătăţiiAzilele groazei. La cinci zile de la declanşarea controalelor, căminele şi centrele sociale sunt pline până la refuz de...
pe 14.07.2023 la 18:34
Bolnavii de cancer protestează. Cer implementarea Planului Național de Cancer: "În România este un genocid la adresa pacienţilor oncologici"
Bolnavii de cancer protestează. Cer implementarea Planului Național de Cancer: "În România este un genocid la adresa pacienţilor oncologici"Peste 30 de persoane, membri ai Federaţiei Asociaţiilor Bolnavilor de Cancer, protestează joi în faţa Ministerului...
pe 13.07.2023 la 12:30
Video Azilele groazei. Avocatul vecinilor îl contrazice pe Pandele: Primăria Voluntari ştia încă din 2021. Nu există nicio interdicţie ca angajaţii să îl informeze pe edil de anchetă
Azilele groazei. Avocatul vecinilor îl contrazice pe Pandele: Primăria Voluntari ştia încă din 2021. Nu există nicio interdicţie ca angajaţii să îl informeze pe edil de anchetăAzilele groazei . Peste 30 de instituţii ale statului ştiau despre problemele din azile şi asta numai dacă ne luăm...
pe 12.07.2023 la 15:15
Statul ştia din 2022 de dezastrul din azilele groazei din Voluntari. Vecinii au dat în judecată Primăria: Reclamau ţipete, urlete, incidente şi miros pestilenţial
Statul ştia din 2022 de dezastrul din azilele groazei din Voluntari. Vecinii au dat în judecată Primăria: Reclamau ţipete, urlete, incidente şi miros pestilenţialAzilele groazei . Primăria Voluntari, Ministerul Muncii (Agenţia Judeţeană pentru Plăţi şi Inspecţie Socială Ilfov,...
pe 11.07.2023 la 13:11
Video Azilele groazei, verificate de DSP la începutul anului. Rafila: "Abaterile constatate au fost minore". Urmează controale la sânge
Azilele groazei, verificate de DSP la începutul anului. Rafila: "Abaterile constatate au fost minore". Urmează controale la sângeAzilele groazei . Ministrul Sănătăţii, Alexandru Rafila, anunţă că centrele de bătrâni din Ilfov au fost...
pe 10.07.2023 la 15:35
Video Petiţie pentru reţete medicale simple, pe înţelesul tuturor. Mulţi pacienţi nu ştiu ce medicamente iau de fapt şi cum trebuie administrate
Petiţie pentru reţete medicale simple, pe înţelesul tuturor. Mulţi pacienţi nu ştiu ce medicamente iau de fapt şi cum trebuie administrateCazul celor şapte copii din Călăraşi intoxiocaţi cu medicamente din greşeală chiar de mama lor, nu a rămas fără...
pe 06.07.2023 la 14:00
Guvernul deblochează angajările în Sănătate: 4.000 de posturi, scoase la concurs
Guvernul deblochează angajările în Sănătate: 4.000 de posturi, scoase la concursMinisterul Sănătății a anunțat vineri că Guvernul a aprobat un memorandum care prevede deblocarea angajărilor din sistemul...
pe 30.06.2023 la 16:40
Planul național de combatere a cancerului: Alexandru Rafila a anunțat noi norme și medicamente gratuite
Planul național de combatere a cancerului: Alexandru Rafila a anunțat noi norme și medicamente gratuiteMinistrul Sănătăţii, Alexandru Rafila, a anunţat, vineri, normele care vor sta la baza aplicării Planului naţional de...
pe 30.06.2023 la 16:17
Temperaturi de aproape 50 de grade Celsius în Mexic. Cel puţin 100 de persoane au murit din cauza valului extrem de căldură
Temperaturi de aproape 50 de grade Celsius în Mexic. Cel puţin 100 de persoane au murit din cauza valului extrem de căldurăSituaţie critică în Mexic, din cauza caniculei. Cel puţin 100 de persoane au murit în ultimele două...
pe 30.06.2023 la 09:41
Ucraina îşi calmează cetăţenii, după ce Zelenski a acuzat Moscova că ar pregăti un atentat asupra centralei de la Zaporojie: "Nu faceţi jocul inamicului!"
Ucraina îşi calmează cetăţenii, după ce Zelenski a acuzat Moscova că ar pregăti un atentat asupra centralei de la Zaporojie: "Nu faceţi jocul inamicului!"Război în Ucraina. Ministerul ucrainean al Sănătăţii i-a îndemnat vineri pe ucraineni să nu intre în...
pe 23.06.2023 la 15:26
Cel puțin 29 de oameni au murit și alți 61 au ajuns la spital în Rusia, după ce au consumat un cidru contaminat cu metanol
Cel puțin 29 de oameni au murit și alți 61 au ajuns la spital în Rusia, după ce au consumat un cidru contaminat cu metanolCel puțin 29 de oameni au murit iar alți 61 au fost internate în Rusia, după ce au consumat cidru impropriu...
pe 07.06.2023 la 21:49
Sindicaliştii SANITAS intră în grevă japoneză: "Nu mai acceptăm jumătăţi de măsură". Greviştii cer deblocarea posturilor şi aplicarea grilei de salarizare
Sindicaliştii SANITAS intră în grevă japoneză: "Nu mai acceptăm jumătăţi de măsură". Greviştii cer deblocarea posturilor şi aplicarea grilei de salarizareFederaţia SANITAS anunţă că salariaţii din sistemul sanitar şi de asistenţă socială intră în grevă japoneză,...
pe 07.06.2023 la 07:55
Video Angajaţii din Sănătate ameninţă cu greva, după exemplul profesorilor. Peste 150 de sindicalişti Sanitas au protestat în faţa Ministerului Sănătăţii
Angajaţii din Sănătate ameninţă cu greva, după exemplul profesorilor. Peste 150 de sindicalişti Sanitas au protestat în faţa Ministerului SănătăţiiDupă exemplul profesorilor şi sindicaliştii din Sănătate îşi cer drepturile. Sute de reprezentanţi ai asistenţilor...
pe 23.05.2023 la 14:06
Video Protest astăzi în faţa Ministerului Sănătăţii. Sindicaliştii din Sănătate ameninţă cu greva, dacă nu li se vor mări salariile şi norma de hrană
Protest astăzi în faţa Ministerului Sănătăţii. Sindicaliştii din Sănătate ameninţă cu greva, dacă nu li se vor mări salariile şi norma de hranăNu doar profesorii sunt nemulţumiţi. Sindicaliştii din sănătate au anunţat că vor picheta timp de două ore astăzi în...
pe 23.05.2023 la 08:11
Rezidențiat 2023. Când se va afla gradul de ocupare a celor 628 de locuri şi posturi rămase neocupate
Rezidențiat 2023. Când se va afla gradul de ocupare a celor 628 de locuri şi posturi rămase neocupateSe apropie de final sesiunea extraordinară a concursului de rezidenţiat organizat de Ministerul Sănătăţii şi...
pe 20.05.2023 la 16:50
Moscova vrea să reducă consumul de alcool şi propune măsuri drastice. În ce condiţii se vor mai putea cumpăra băuturi alcoolice în Rusia
Moscova vrea să reducă consumul de alcool şi propune măsuri drastice. În ce condiţii se vor mai putea cumpăra băuturi alcoolice în RusiaDeşi consumul ridicat de alcool nu este o noutate în Rusia, Ministerul Sănătăţii de la Moscova este tot mai...
pe 08.05.2023 la 07:46
Video "O să murim în case!" Risc biologic uriaş în Sudan, alţi trei români au reuşit să părăsească ţara. Au mai rămas 11, însă pentru ei MAE nu are încă o soluţie
"O să murim în case!" Risc biologic uriaş în Sudan, alţi trei români au reuşit să părăsească ţara. Au mai rămas 11, însă pentru ei MAE nu are încă o soluţieRisc biologic uriaş în Sudan . Este avertismentul Organizaţiei Mondiale a Sănătăţii, după ce luptătorii au ocupat...
pe 27.04.2023 la 08:15
Video Diagnosticat cu cancer, l-au plimbat între spitale până şi-a pierdut orice speranţă. Mărturia în lacrimi a lui Valentin: "Aveam ameţeli, eram foarte slăbit"
Diagnosticat cu cancer, l-au plimbat între spitale până şi-a pierdut orice speranţă. Mărturia în lacrimi a lui Valentin: "Aveam ameţeli, eram foarte slăbit"Tratament inuman pentru un bărbat de 61 de ani din Bucureşti, care suferă de o boală gravă. Omul reclamă că a fost plimbat...
pe 18.04.2023 la 19:16
Video Simptomul care trimite tot mai mulţi copii la spital. Ce boli poate ascunde de fapt
Simptomul care trimite tot mai mulţi copii la spital. Ce boli poate ascunde de faptOdată cu schimbarea sezonului din iarnă în primăvară, răcelile sunt mult mai dese , iar cei mici sunt cei mai...
pe 17.03.2023 la 12:40
Video Două analize esenţiale vor deveni gratuite pentru asiguraţi. Noul program naţional ar putea salva mii de vieţi
Două analize esenţiale vor deveni gratuite pentru asiguraţi. Noul program naţional ar putea salva mii de vieţiUn nou program naţional ar putea salva mii de vieţi. De Ziua Mondială a Rinichiului, Ministerul Sănătăţii anunţă că, din...
pe 09.03.2023 la 19:55
Spitalele, obligate să comunice cu rudele pacientului în cel mult 2 ore de la internare. În caz contrar, vor fi amendate
Spitalele, obligate să comunice cu rudele pacientului în cel mult 2 ore de la internare. În caz contrar, vor fi amendateFostul ministru al Sănătăţii Vasile Cepoi a afirmat că un ordin al Ministerului Sănătăţii prevede ca, la două ore de la...
pe 07.03.2023 la 12:50